A través de los Médicos del Primer Hospital de la Universidad de Lanzhous, China se dieron a conocer algunas imágenes de cómo lucen los pulmones de una paciente infectada con coronavirus 2019-nCoV.
Estos médicos afirmaron que la respiración de la mujer era “áspera” y en sus estudios, tenía un recuento muy bajo de glóbulos blancos.
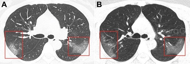
La paciente tiene 33 años de edad y laboraba en la ciudad de Wuhan, donde se originó el virus y llegó a este hospital, presentando fiebre de 39º centígrados y tos que se presentó al menos 5 días.
Las imágenes de sus pulmones mostraban manchas blancas que son denominadas como opacidad de vidrio esmerilado, algo muy parecido a la neumonía.

En la fotografía A, es la mujer al ser recién diagnosticada y la imagen B, fue tomada luego de tres días de la infección. Los médicos se han sorprendido, ya que estas corresponden a una persona enferma de neumonía, la cual tiene líquidos en los pulmones.
Hasta ahora se ha informado que al menos el 20% de los infectados con el virus, presentan síntomas graves, y por supuesto, aquellos que presentan otros padecimientos, se han convertido en la población más vulnerable.

Hace unos días trascendió que dos médicos tailandeses curaron a una paciente con una mezcla de medicamentos contra el VIH y un remedio antigripal, aparentemente en menos de 48 horas, la paciente de 71 años salió sin el coronavirus, sin embargo, hasta ahora no se ha utilizado esta mezcla con el resto de los infectados.